Chảy máu chân răng khi mang thai là một trong những triệu chứng thường gặp khi mang thai, xảy ra với hơn một nửa mẹ bầu. Tuy nhiên, hầu hết mọi người lại lơ là, thậm chí xem thường triệu chứng này. Theo một số nghiên cứu, chảy máu chân răng có thể là nguyên nhân gây ra một số biến chứng thai kỳ nguy hiểm. Tham khảo thông tin có nên bọc răng sứ không từ chia sẻ nha khoa.
Chảy máu chân răng khi mang thai do nguyên nhân gì?
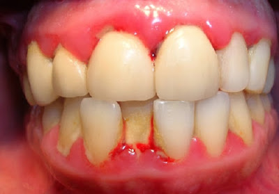
Có rất nhiều phụ nữ khi mang thai bị chảy máu chân răng, sưng nướu, khiến bạn mệt mỏi và khó chịu. Nguyên nhân là do sự thay đổi nội tiết tố trong thai kỳ làm cho nướu sưng đỏ. Ngoài ra, việc thường xuyên ăn vặt, ăn đồ ngọt khi mang thai nhưng không vệ sinh răng miệng đúng cách cũng là nguyên nhân gây chảy máu chân răng. Mức giá niềng răng mắc cài trong tại sao lại cao hơn niềng răng kim loại?
Trường hợp phụ nữ mang thai cơ thể có nhiều thay đổi đặc biệt là hoocmon sinh dục nữ và progestogen tăng, điều này khiến mao mạch ở răng lợi phình to, gấp khúc và tính đàn hồi suy yếu hơn. Tình trạng ứ đọng máu và tính thẩm thấu của thành mao mạch tăng lên gây chảy máu răng.

Chảy máu chân răng khi mang thai có nguy hiểm không?
Bản thân hiện tượng chảy máu chân răng không gây nguy hiểm nhiều đến sức khỏe, nó chỉ gây mất vệ sinh và thẩm mỹ. Tuy nhiên, nếu không điều trị kịp thời, chảy máu chân răng có thể biến chuyển thành nha chu, sâu răng.
Mặc dù vẫn chưa có nghiên cứu nào chứng minh chảy máu chân răng khi mang thai có thể gây ảnh hưởng trực tiếp đến sức khỏe thai nhi, nhưng một số chuyên gia vẫn cho rằng, có mối liên hệ giữa viêm nướu và nguy cơ sinh non, thai nhi nhẹ cân cùng một số biến chứng thai kỳ khác.
Nếu nướu chảy máu và cảm thấy đau, bạn nên khi khám ngay. Nha sĩ có thể giúp bạn vệ sinh răng miệng và loại bỏ những mảng bám trên răng. Ngoài ra, nha sĩ cũng sẽ cho bạn một số lời khuyên hữu ích để làm sạch răng.
Điều trị chảy máu chân răng khi mang thai
Chảy máu chân răng khi đang mang thai là một biểu hiện sinh lý. Nó chỉ khiến các bà mẹ khó chịu chứ không có hại đến thai nhi. Nhưng các bà mẹ cần phải chú ý đến sức khỏe răng miệng để tốt cho sự phát triển của trẻ.
- Trong trường hợp các bà mẹ bị chảy máu do không vệ sinh răng miệng đúng cách có thể sẽ dẫn đến các bệnh lý răng miệng như viêm nướu, sâu răng, viêm nha chu.
- Lúc này, bạn cần đến các cơ sở nha khoa để thăm khám và điều trị, để đảm bảo sức khỏe cho cả mẹ và bé.
- Hầu hết những lần mẹ bầu đánh răng đều gây chảy máu, dần dần khiến mẹ hơi e dè khi đánh răng. Thật ra, việc đánh răng thường xuyên lại là cách tốt nhất giúp bạn ngăn ngừa tình trạng chảy máu chân răng. Sử dụng bàn chải mềm, và chọn loại kem đánh răng dành cho răng nhạy cảm. Không nên chải răng ngay sau khi ăn, nên chải răng sau khi ăn, uống 1 tiếng đồng hồ để bảo vệ men răng.
- Hãy sử dụng bàn chải lông mềm, đánh răng đúng cách.
- Các bà mẹ khi mang thai nên khám răng định kỳ và lấy cao răng 6 tháng lần để loại bỏ những mảng bám gây hại cho răng.
- Bổ sung cho cơ thể các loại vitamin A, vitamin C có trong các loại rau củ quả để giảm thiểu tình trạng chảy máu chân răng.
- Khi thấy răng có những dấu hiệu đau loại, thường xuyên chảy máu lợi sưng đau, hơi thở có mùi thì bạn cần đến các cơ sở nha khoa để được thăm khám và tư vấn điều trị.
Bài viết được trích nguồn: https://halien11111.blogspot.com
Thông tin liên hệ:
Trung tâm nha khoa Đăng Lưu
Địa chỉ:
Cơ sở 1: 34 Phan Đăng Lưu, P.6, Q.Bình Thạnh –(+84 8) 6297 7148
Cơ sở 2: 540 Trần Hưng Đạo, P.2, Q.5 –(+84 8) 6682 0346
Hotline: (+84 8) 66820346
Tg: Ngavvt